Nanovi Launch Novel Liquid Soft Tissue Marker: BioXmark®
CE Marking approval of Nanovi’s liquid fiducial marker, BioXmark®, creating new opportunities for high-precision image-guided radiotherapy
Copenhagen, 27 April 2016, Nanovi, a developer and commercializer of advanced biomaterials to improve the treatment of cancer is pleased to announce that it will launch its novel liquid soft tissue marker at ESTRO (29 April – 03 May) in Turin, Italy.
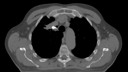
BioXmark® (1mL) is indicated for use to radiographically mark soft tissue in or adjacent to malignant tissue in the thoracic region during a surgical procedure for at least two months after placement. BioXmark® is injected via very thin needles (endoscopically or percutaneously) and provides visibility of the target throughout the treatment. It is biodegradable and is completely resorbed within a few years.
BioXmark® is visible on x-ray, CT, CBCT, fluoroscopy, MRI and ultrasonography enabling multi-modality image-guided planning and treatment, which is becoming the standard treatment approach in radiotherapy in hospitals across Europe. Compared to conventional metal based soft tissue markers, BioXmark® creates limited artefacts in CT and MRI and induces minimal dose perturbation in proton therapy. Moreover, BioXmark® has no sharp edges, which tend to cause migration of conventional metal based markers in patients.
"We have tested BioXmark® in patients with lung cancer and found that it is easy to work with and clearly visible. Markers were injected in tumour tissue, lymph nodes and lung tissue and we observed no migration from the planning CT to end of treatment ,” said Lena Specht, MD, PhD, Professor of Oncology, Dept. of Oncology, Rigshospitalet, Copenhagen University Hospital, Denmark. “ We have also tested BioXmark® in patients with oesophageal cancer and saw no migration between planning CT to end of treatment, and again, BioXmark® was well tolerated."
"BioXmark®, a next generation soft tissue marker for use in image guided radiotherapy, is now commercially available in Europe. We are excited to launch BioXmark® at ESTRO and working with the European radiotherapy community to explore BioXmark®’s potential to improve the treatment of cancer patients," said Morten Albrechtsen, CEO of Nanovi.
Note for the Editor
About BioXmark® (www.nanovi.com)
BioXmark® is the first and only injectable liquid tissue marker which increases viscosity after injection, thereby forming a three dimensional gel-like marker with sufficient contrast for 2D x-ray visualization use. It is easy to inject and visible in all commonly used image modalities. Due to its high radiopacity only a small marker volume is required for sufficient visualization. Since BioXmark® can be injected through thin needles the risk for pneumothorax in lung cancer is reduced.
About Nanovi (www.nanovi.com)
Nanovi was founded in 2012 with the aim of raising radiotherapy standards without compulsory changes in current routines and equipment. The idea arose from a real medical need for better guidance of radiation treatment of cancer patients that Nanovi’s founders believe could be solved using advanced biomaterials.








